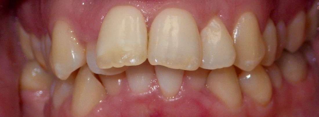
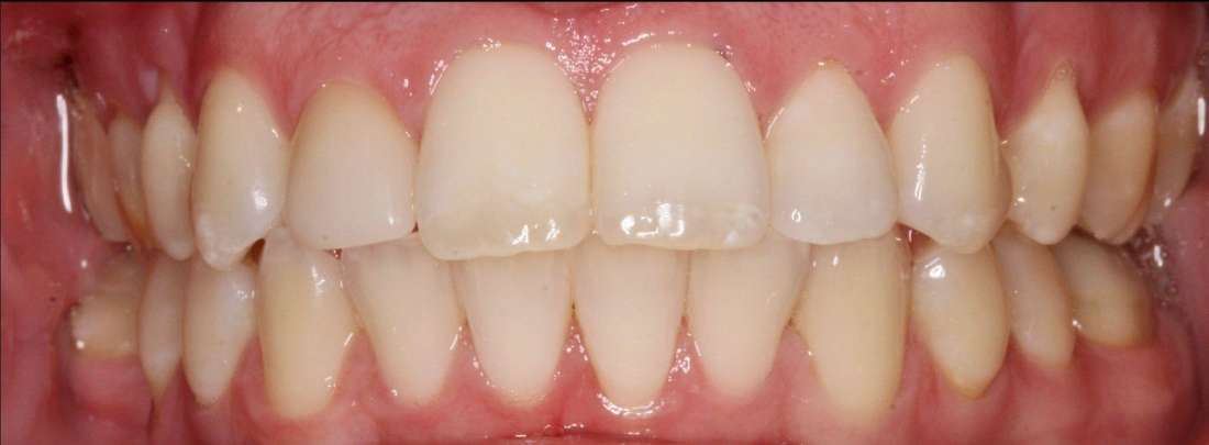
This patient always wanted straight teeth but couldn’t do it when she was a child. She had an extensive multi-disciplinary treatment plan that utilized multiple procedures, including braces, oral surgery, crowns, veneers, and teeth whitening.
If you're like this patient and want to learn more about cosmetic dentistry in Charlotte, Marvin, Waxhaw, Weddington, Wesley Chapel, and other nearby communities, call us today.
