Before and After Photos
See What's Possible with Outstanding Dentistry in Charlotte
Excellent dentistry has the power to change lives! Please take a look at some before and after photos to get an idea of what's possible for you through cosmetic dentistry in Charlotte, NC. Then contact our dental team to arrange a consultation with the cosmetic dentist!
We're always thrilled to help new and existing patients reach their smile goals. And we serve all communities, including Marvin, Waxhaw, Weddington, Wesley Chapel, and your neighborhood.
This patient came in with a broken tooth. Dr. Shirman was able to rebuild it with a CEREC Same Day Crown!
The patient initially visited our office with a loose dental bridge. Despite having multiple dental issues, the patient was hesitant to begin treatment due to anxiety. However, we successfully helped the patient overcome their dental fear, allowing us to proceed with a full mouth reconstruction.
This patient sought dental care in Ukraine in an attempt to save money on the cost of treatment. After a year in traditional braces, his teeth were still not moving. Searching for a solution, he came to our office to correct his smile. As a result, we were able to achieve fantastic results using clear aligners. The patient simply can't stop smiling!
This patient presented with severely worn and missing teeth, leading to functional challenges and aesthetic concerns. Through a comprehensive full mouth rehabilitation, we restored the integrity and appearance of their smile. The treatment involved a combination of dental implants, crowns, and bridges to replace missing teeth and rebuild worn structures. The 'after' images showcase a rejuvenated smile with improved function and a natural, harmonious appearance.
This patient came to our dental office in Charlotte because most of the chewing surface on one of their teeth had fractured, and their old silver filling was breaking down. Dr. Shirman placed a CEREC Same-Day crown to protect the tooth and restore its strength.
This patient had part of his upper tooth broken off, which made it weaker and more prone to further damage. We repaired the tooth with a CEREC same-day crown to restore its strength and protect it from breaking more.
This patient came to our dental office in South Charlotte. One tooth lost most of its chewing surface and was cracked. We were able to save the tooth with a CEREC same day crown. Another tooth nearby had an old filling that was starting to break down. We restored this tooth with a composite white filling.
This complex, multi-disciplinary case involved jaw therapy combined with complete rehabilitation using crowns, veneers, and dental bridges. The patient is now symptom-free and can’t stop smiling.
We replaced this patient's crown after identifying that it was chipped on the biting surface. We were able to replace the dental crown the same day!
The patient recently completed his braces treatment but was dissatisfied with the smile due to malformed front teeth. To address this, the BioClear method was used to enhance the shape of the front teeth, resulting in an improved overall smile.
This patient came to our office in Charlotte to brighten their smile. Using KöR Deep Teeth Whitening, we were able to lighten the color of their teeth making a noticeable difference!
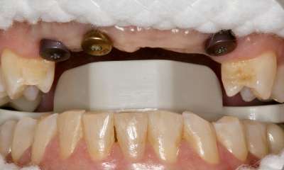
This patient was referred to our office by a Periodontist colleague because they know our team takes a comprehensive approach to designing and creating a beautiful smile. The patient suffered with bite problems his entire life and as a result, his teeth kept breaking. Using dental implants and crowns we were able to restore his smile to a beautiful and healthy state.
This patient was diagnosed with severe acid reflux that caused enamel erosion. He was also diagnosed with sleep apnea. Dr. Shirman, our cosmetic dentist in Charlotte, did a full mouth rehabilitation case where all teeth were crowned to restore size, shape, aesthetics, and function. Dr. Shirman also made him a sleep therapy appliance to protect his new smile.
Patients come to us from all over, including Marvin, Waxhaw, Weddington, Wesley Chapel, and your locale.
The patient was concerned about gaps between teeth and wanted to address the issue non-invasively. The final result was achieved using the Bioclear system and required no modification to natural enamel.
This patient always wanted straight teeth but couldn’t do it when she was a child. She had an extensive multi-disciplinary treatment plan that utilized multiple procedures, including braces, oral surgery, crowns, veneers, and teeth whitening.
If you're like this patient and want to learn more about cosmetic dentistry in Charlotte, Marvin, Waxhaw, Weddington, Wesley Chapel, and other nearby communities, call us today.
An uneven bite and overlapping teeth can make smiling a challenge and can even put undue wear on teeth and gums. This patient required a multi-disciplinary treatment plan that included orthodontic treatment to reconstruct their bite. As illustrated in the photos, the alignment was corrected, and minor cosmetics were used to help them regain their confidence with a beautiful and healthy smile.
Patients come to us for cosmetic dentistry from surrounding areas, including Marvin, Waxhaw, Weddington, Wesley Chapel, NC, and other nearby communities.
Using cosmetic dentistry, we were able to create a beautiful, more natural looking smile for this patient. After coming to our office for an initial consultation and in search of a solution for a chipped front tooth, the patient was delighted to discover that both front teeth could match again. Understanding the importance of our patient's time away from their busy life, we were able to schedule both teeth to be restored together at the same visit. Using CEREC technology, we created same-day dental crowns in our office. These are full ceramic, custom-colored, and durable crowns. At our office, you ...
This patient had a broken tooth, and our cosmetic dentist in Charlotte, NC, relied on quality ceramic and our own on-site milling machine to restore this tooth. CEREC veneers are quality restorations that can conceal many tooth flaws, including gummy smiles, discoloration, chips, breaks, and worn teeth.
We restore smiles for patients everywhere, including Marvin, Waxhaw, Weddington, Wesley Chapel, and your community.
Updated in October of 2025
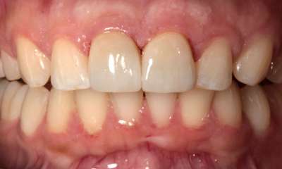
This patient came to Dental Wellness of Charlotte with an old, broken filling that weakened the tooth and affected the overall appearance of their smile. To restore both strength and beauty, we created a same-day porcelain crown using advanced CEREC technology—right here in our Charlotte dental office.
The final result? A durable, lifelike restoration that blends seamlessly with the patient’s smile, delivering renewed confidence and protection for years to come.
If you’re struggling with cracked, worn, or failing restorations, same-day porcelain crowns in Charlotte, NC, offer a fast, long-lasting, and aesthetic solution. Our team combines precision ...
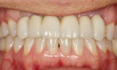
This patient came in with old restorations that were heavily stained and starting to break down. We restored both front teeth with cosmetic crowns, giving them strength, beauty, and confidence again.
