Dental Wellness of Charlotte

CEREC Same Day Crown

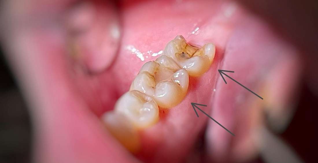
This patient came to our dental office in South Charlotte. One tooth lost most of its chewing surface and was cracked. We were able to save the tooth with a CEREC same day crown. Another tooth nearby had an old filling that was starting to break down. We restored this tooth with a composite white filling. 

Improve your smile today – call to schedule a consultation!
If you have difficulty using our website, please email us or call us at (704) 317-7337
View the ADA Accessibility Statement