Dental Wellness of Charlotte

CEREC Same-Day Crowns Restore Smiles!

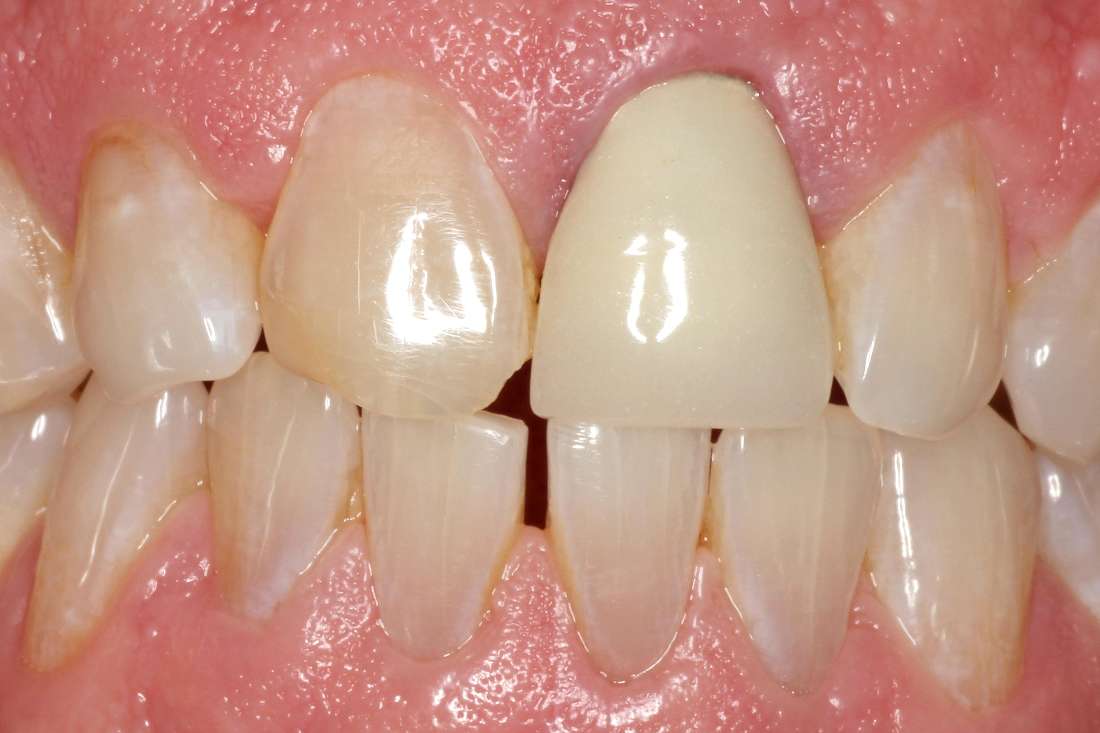
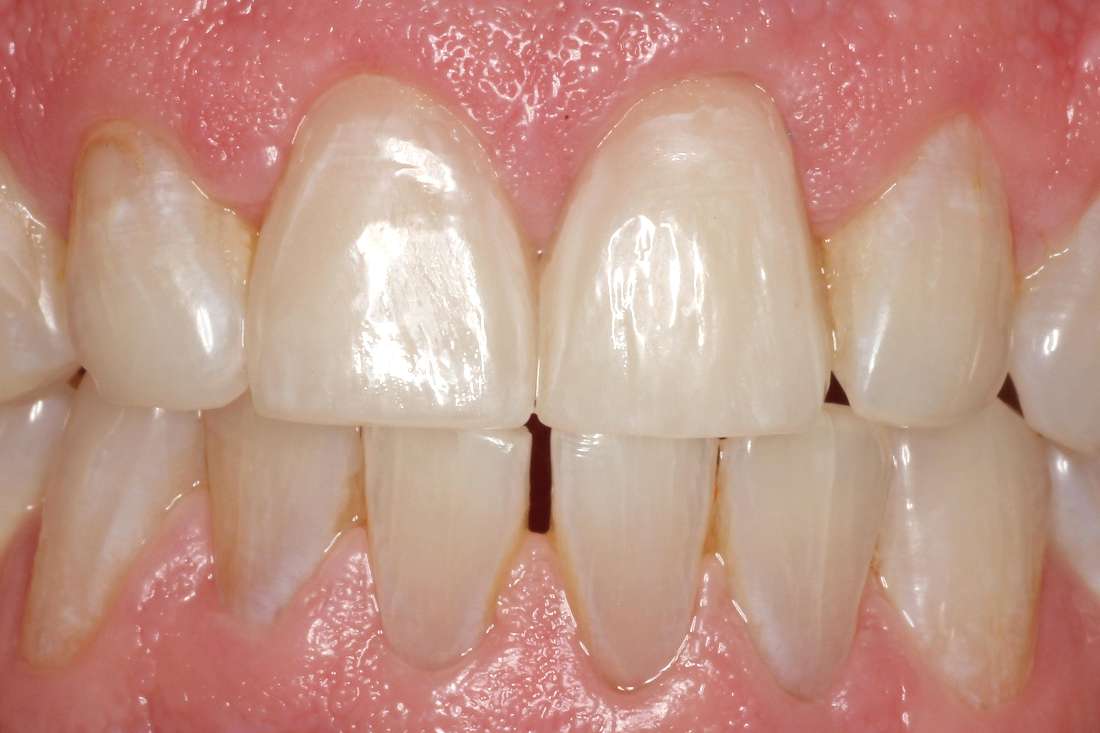
Using cosmetic dentistry, we were able to create a beautiful, more natural looking smile for this patient. After coming to our office for an initial consultation and in search of a solution for a chipped front tooth, the patient was delighted to discover that both front teeth could match again. Understanding the importance of our patient's time away from their busy life, we were able to schedule both teeth to be restored together at the same visit.  Using CEREC technology, we created same-day dental crowns in our office. These are full ceramic, custom-colored, and durable crowns. At our office, you will no longer need a temporary restoration that requires a second appointment to deliver the permanent crown. 

Serving all locations including Charlotte, Marvin, Waxhaw, Weddington, Wesley Chapel, NC, and all surrounding communities. 

Related Services:

Dental Crowns and Bridges
"This was the first place I went to where I felt like I was wanted."
Ready to book an appointment?
If you have difficulty using our website, please email us or call us at (704) 317-7337
View the ADA Accessibility Statement