Dental Wellness of Charlotte

Cosmetic Dental Crowns

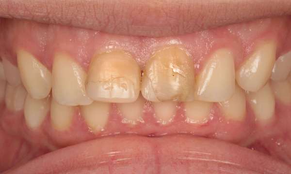
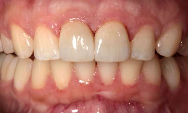
This patient came in with old restorations that were heavily stained and starting to break down. We restored both front teeth with cosmetic crowns, giving them strength, beauty, and confidence again.

Related Services:

Dental Crowns and Bridges
Ready to book an appointment?
If you have difficulty using our website, please email us or call us at (704) 317-7337
View the ADA Accessibility Statement