Dental Wellness of Charlotte
Home
About
Our Team
Technology
Office Tour
Services
View All
Dental Implants
Porcelain Veneers
Dental Crowns and Bridges
Invisalign® Clear Aligners
Professional Teeth Whitening
Full and Partial Dentures
Family Dentistry
Laser Dentistry
TMJ and Sleep Apnea Treatment
Cosmetic Dentistry
Bioclear®
Sedation Dentistry
Emergency Dentistry
Dental Cleanings and Exams
Airway Dentistry
Smile Gallery
Testimonials
Patient Info
View Patient Info
Your First Visit
Forms
Financial
Patient Specials
FAQs
Dental Blog
Dental Wellness Club
Contact
Dental Wellness of Charlotte
RESERVE VISIT
Like us on Facebook
Watch our Youtube Videos
Leave a Google Review
Instagram
Follow us on TikTok
(704) 317-7337
9915 Sandy Rock Place, Suite 200
Charlotte, NC 28277
Dental Wellness of Charlotte
>
Smile Gallery
>
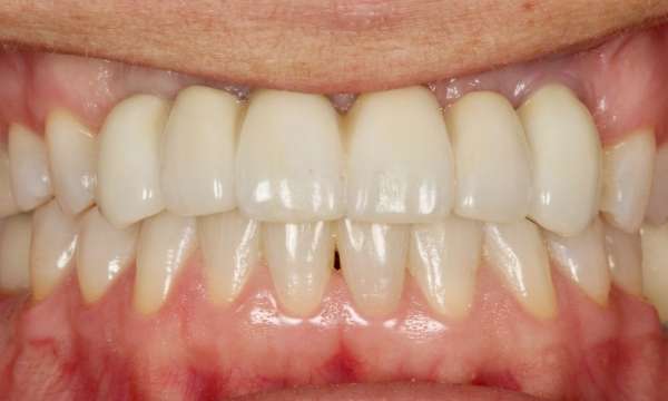
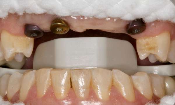
Dental Implant Bridge
Dental Implant Bridge
Return to Smile Gallery
Previous
Related Services:
Dental Implants
Click image to see a larger picture
Before
After
Getting an appointment is
fast
and
easy
!
Reserve Visit
If you have difficulty using our website, please
email us
or call us at
(704) 317-7337
View the
ADA Accessibility Statement
Turn on ADA Views
Privacy Policy
OK!
×
×
Contact Us Today
Give Us A Call
Dental Wellness of Charlotte -
(704) 317-7337
Send Us an Email
Book Online
Contact Us
Ready to Schedule an Appointment?
Book Online
Have Questions? Contact Us:
Required Field
Your Name:
Phone:
Email:
Are you a new patient?:
Are you a?
New Patient
Current Patient
How would you like us to contact you?
Please choose
Email
Call
How did you hear about us?
Please choose
I'm an existing patient
Google/Bing
Mailer
Word of mouth
Social media
Other
Who Referred You?:
Appointment Preferences
Monday
Tuesday
Wednesday
Thursday
Friday
Your Message:
By checking this box, you authorize our office to contact you via text message.
This site is protected by reCAPTCHA and the Google
Privacy Policy
and
Terms of Service
apply.
Sending...
×
This Patient's Experience
Loading Testimonial...
Loading Case...