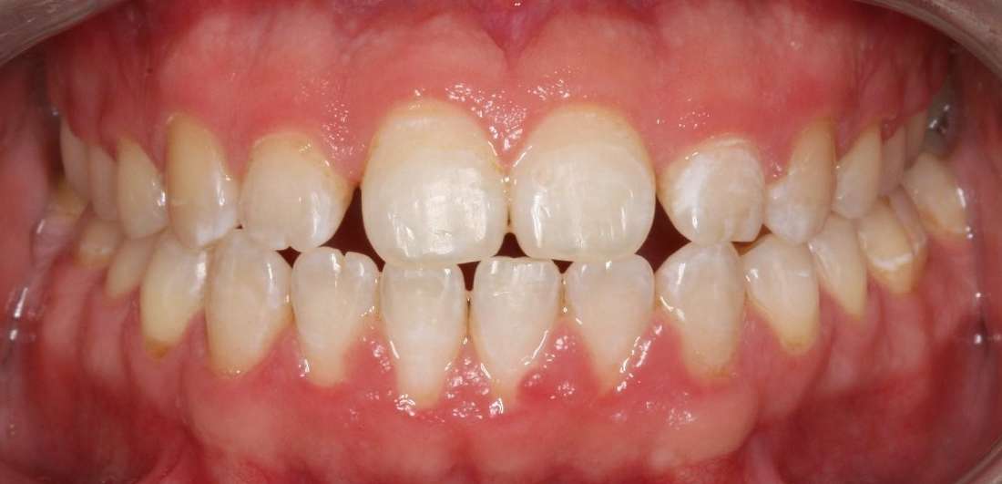
This patient sought dental care in Ukraine in an attempt to save money on the cost of treatment. After a year in traditional braces, his teeth were still not moving. Searching for a solution, he came to our office to correct his smile. As a result, we were able to achieve fantastic results using clear aligners. The patient simply can't stop smiling!
